Periodoncia en Madrid: Guía Completa del Especialista

Todo lo que necesitas saber sobre salud periodontal, tratamiento de encías e implantes dentales. Más de 10 años de experiencia y formación internacional.

15000+

Pacientes tratados

98%

Tasa de éxito

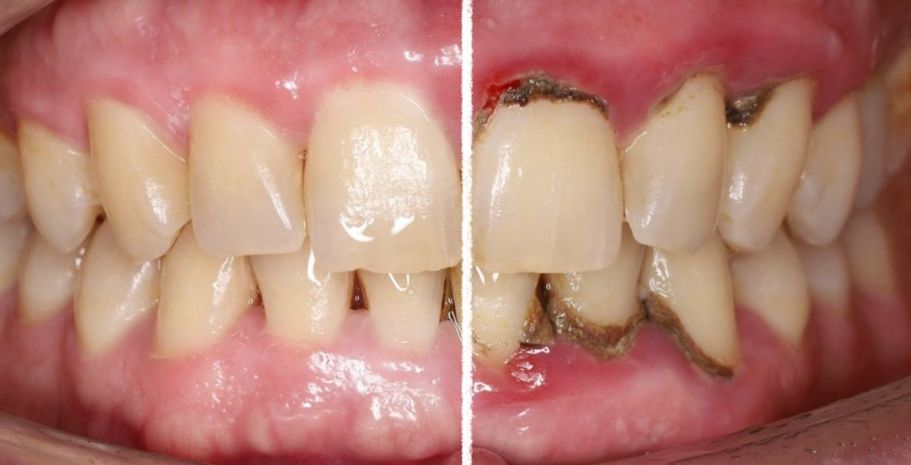
¿Conoces los síntomas de una encía enferma? Mejor Clínica de Periodoncia en Madrid

¿Alguna de estas señales te resulta familiar? Son los síntomas de una enfermedad periodontal:

Sangrado

Es uno de los primeros síntomas que aparece y la más notable. Se presenta al cepillarse los dientes o espontaneamente.

Inflamación

La inflamación se evidencia como enrojecimiento y agrandamiento de las encías


Encía retraida

La retracción de las encías normalmente es debida a una combinación de factores como periodontitis, genética o cepillado agresivo


Enfermedades periodontales

¿Cuales son?

Gingivitis

Inflamación reversible de las encías causada por acumulación de placa bacteriana.

  • Encías enrojecidas
  • Sangrado al cepillar
  • Inflamación leve
  • Tratamiento: higiene profesional

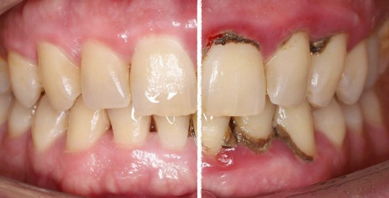
Periodontitis

Enfermedad inflamatoria No reversible que destruye el hueso que sostiene los dientes.

  • Retracción de encías
  • Movilidad dental
  • Pérdida de hueso
  • Requiere tratamiento especializado

Periimplantitis

Inflamación alrededor de implantes dentales que puede causar su pérdida.

  • Sangrado alrededor del implante
  • Pérdida de hueso periimplantar
  • Supuración
  • Tratamiento regenerativo


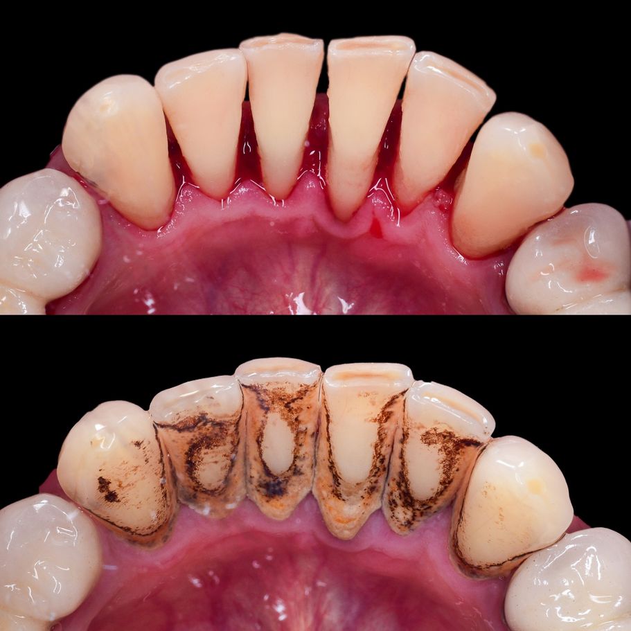
Tratamientos de Periodoncia en Madrid

Ofrecemos las técnicas más avanzadas en cirugía periodontal y regeneración de tejidos, con evidencia científica y resultados predecibles.

🦷 Raspado y Alisado Radicular

Tratamiento fundamental para eliminar la placa y el sarro acumulado debajo de la línea de las encías.


Duración: 2-4 sesiones de 1 hora

Recuperación: 24-48 horas

Tasa de éxito: 85-95%

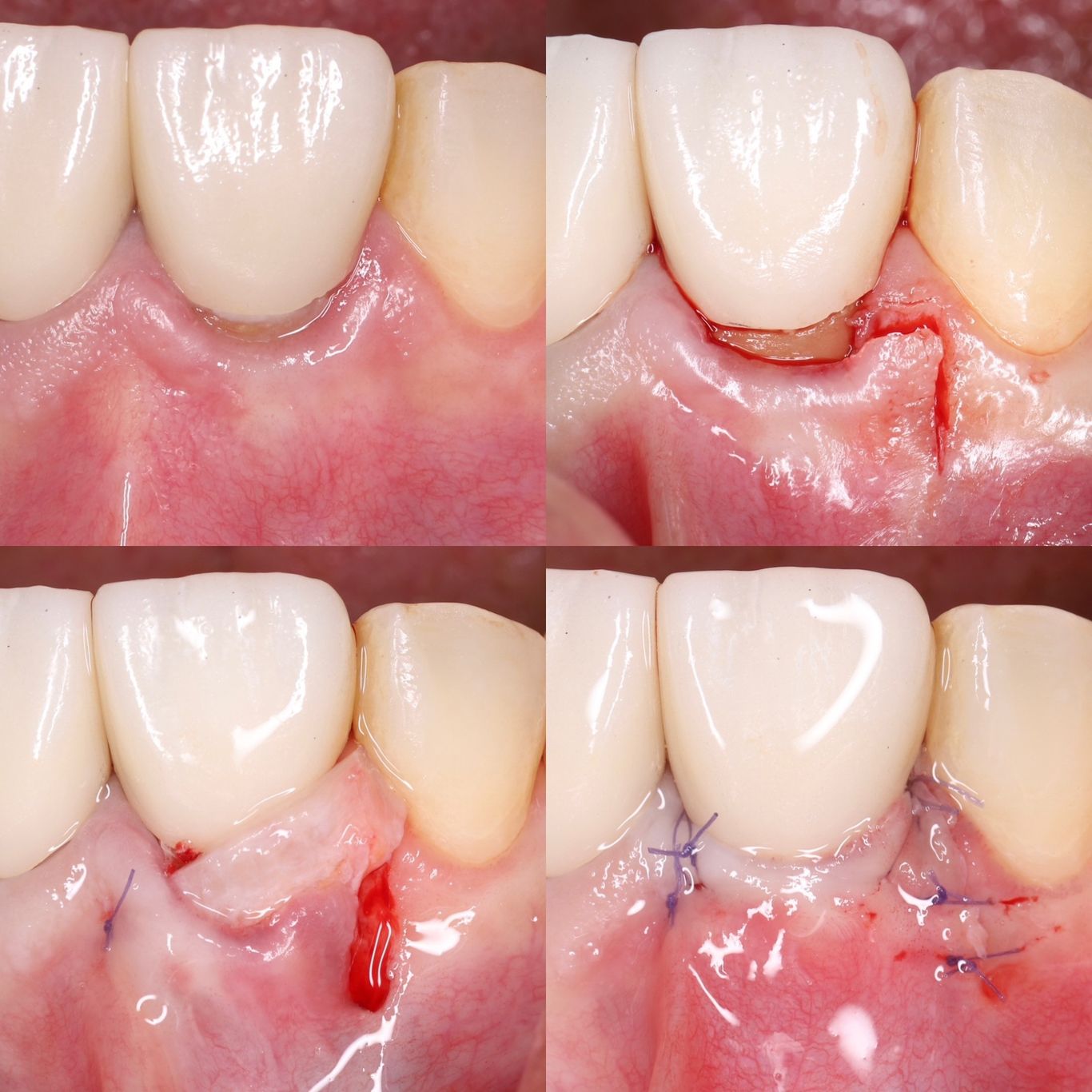
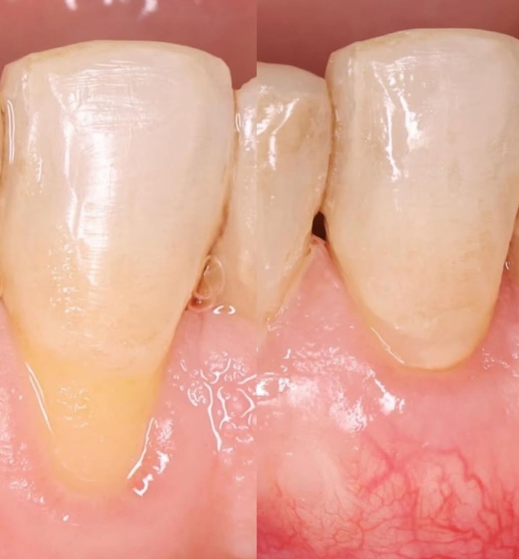
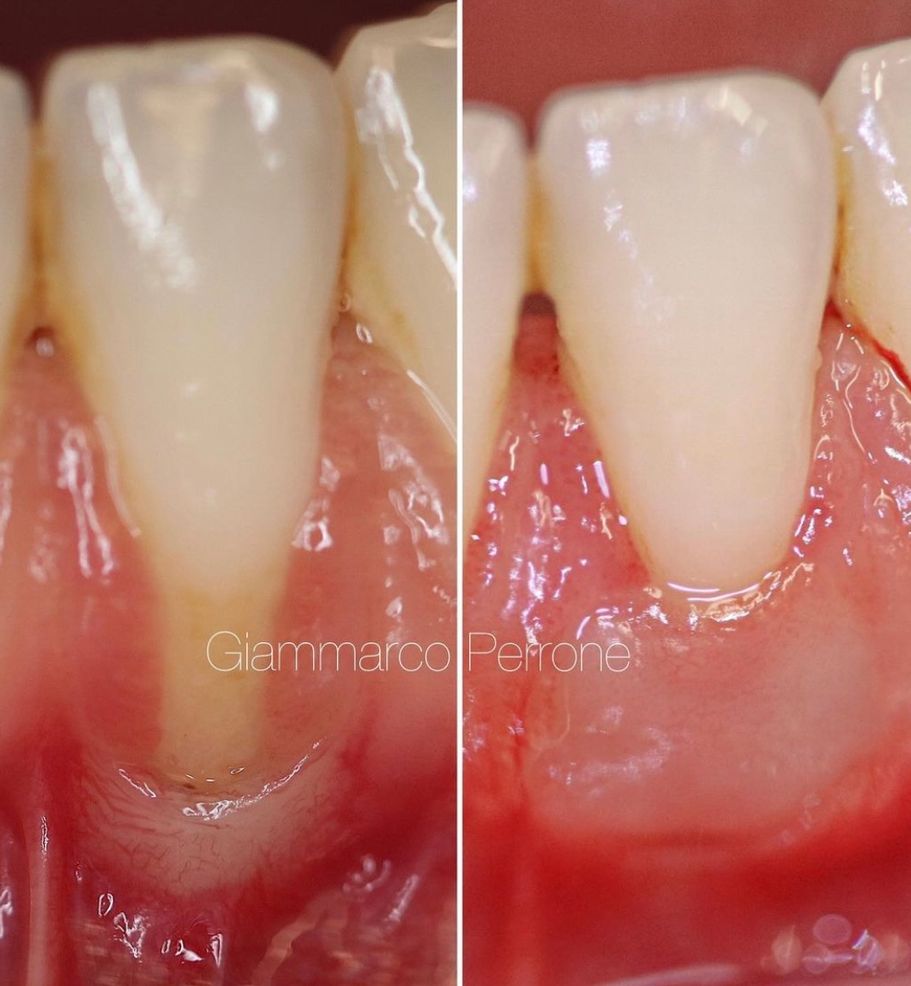
🔬 Injertos de encías


Procedimientos para corregir recesiones gingivales y mejorar estética y salud de las encías.


Técnicas: Injertos de tejido conectivo, Injertos libres en diferentes técnicas

Recuperación: 7-14 días

Cobertura radicular: En los casos más favorables hasta el 100%

🦴Regeneración Ósea


Técnicas avanzadas para recuperar el hueso perdido por enfermedad periodontal.

 

Materiales: Biomateriales, membranas, células madre

Duración procedimiento: 1-2 horas

Ganancia ósea: 3-5 mm promedio

Ejemplos de tratamiento recesiones de encía

Heading
 

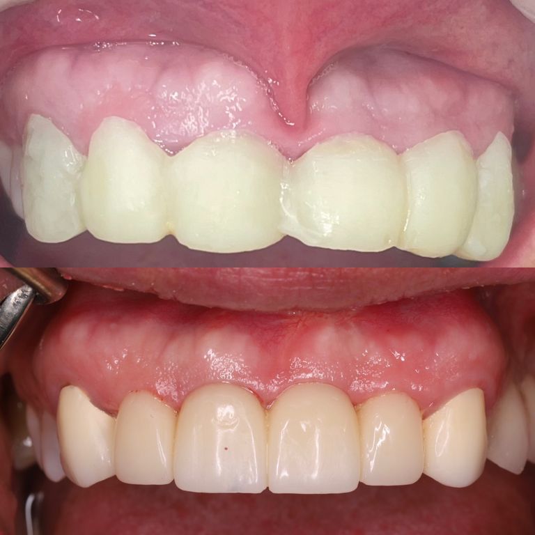
Implantes Dentales💎 

Colocación de implantes con técnicas de regeneración para casos complejos con pérdida ósea.

Sistemas: Implantes Straumann® *Sistema Suizo

Tasa de supervivencia: 98% a 10 años

Técnica: Digital con CBCT 3D

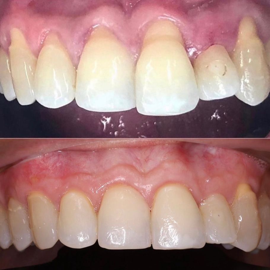
Cirugia Periodontal🎯

Mejora de la estética de la sonrisa mediante cirugía de encías y remodelación gingival.

Indicaciones: Sonrisa gingival, asimetrías

Técnica: Alargamiento coronario, gingivectomía

Recuperación: 7-10 días

Mantenimiento Periodontal🔧

Programa de seguimiento para mantener la salud periodontal a largo plazo después del tratamiento.

Frecuencia: cada 3-6 meses

Incluye: limpieza, evaluación, refuerzo higiene

Prevención: 95% efectividad

Tecnología de Vanguardia

Utilizamos la última tecnología para diagnóstico preciso y tratamientos mínimamente invasivos.

📊 CBCT 3D

 

Tomografía computarizada de haz cónico para planificación precisa de implantes y evaluación de defectos óseos.

🧬Biomateriales Avanzados

Uso de injertos autólogos, factores de crecimiento y biomateriales de última generación.

💻 Planificación Digital

Tomografía computarizada de haz cónico para planificación precisa de implantes y evaluación de defectos óseos.

Resolvemos las dudas más comunes sobre periodoncia y salud de las encías:

 

¿Cuándo debo acudir a un periodoncista?

Debes consultar a un periodoncista si experimentas: sangrado de encías al cepillarte, encías enrojecidas o inflamadas, retracción de encías (dientes más largos), movilidad dental, mal aliento persistente, o si has sido diagnosticado con enfermedad periodontal. También es recomendable acudir si planeas colocarte implantes dentales.

 

¿Es doloroso el tratamiento periodontal?

Los tratamientos periodontales se realizan bajo anestesia local, por lo que no sentirás dolor durante el procedimiento. Tras el tratamiento puede haber sensibilidad leve que se controla con analgésicos comunes. Las técnicas modernas mínimamente invasivas reducen significativamente las molestias postoperatorias.

 

¿Cuánto tiempo dura el tratamiento?

Depende de la severidad de la enfermedad. Una gingivitis se trata en 1-2 sesiones de limpieza. La periodontitis leve-moderada requiere 1-2 sesiones de raspado. Casos severos pueden necesitar cirugía regenerativa (1-2 procedimientos). El plan completo se diseña tras la primera evaluación.

 

¿La enfermedad periodontal se cura?

La enfermedad periodontal es controlable pero crónica. Con tratamiento adecuado se puede detener la progresión y regenerar tejidos perdidos. Sin embargo, requiere mantenimiento periodontal constante y excelente higiene en casa para evitar recaídas.

 

¿Qué diferencia hay entre dentista y periodoncista?

El dentista general realiza tratamientos de odontología básica. El periodoncista es un especialista con 2-3 años adicionales de formación específica en diagnóstico y tratamiento de enfermedades de las encías, cirugía periodontal, implantes dentales y regeneración de tejidos. Es el experto en casos complejos.

 

¿Los implantes dentales son seguros?

Sí. Los implantes dentales tienen una tasa de éxito del 95-98% a 10 años. Con planificación digital (CBCT 3D), materiales biocompatibles (titanio o zirconio) y técnica adecuada, los riesgos son mínimos. El mantenimiento periodontal regular es clave para el éxito a largo plazo.

Opiniones de nuestros pacientes
 

    “Excelente atención de Laura y el Dr. Perrone. Mi recesión gingival mejoró notablemente en una sola sesión. ¡Altamente recomendable!” – María G., Madrid
 

“Implantes Straumann perfectos, sin dolor y resultados inmediatos. Equipo profesional y empático en Calle Princesa.” – Carlos R., Moncloa
 

“La Dra. Mar Contreras transformó mi sonrisa con ortodoncia invisible. Resultados perfectos y atención personalizada en Perrone Periodoncia.” – Sofia P., Madrid
 

  “Tratamiento ortodóntico combinado con periodoncia impecable. La Dra. Mar es experta y muy atenta. ¡Sonrisa nueva en meses!” – David S., Chamberí
 

“Recubrimiento radicular exitoso, el Dr. Perrone es un referente tras su formación en Bolonia. Confianza total en el equipo.” – Ana L., Boadilla del Monte
 

“Primera visita gratuita y seguimiento impecable. Laura coordinó todo perfectamente.” – Javier M., Madrid Centro

¿Por Qué Elegir Perrone Periodoncia?

✨ Especialización Exclusiva

Me dedico exclusivamente a Periodoncia, Implantología y Protesis. No somos una clínica general: somos especialistas con formación internacional avanzada. Mi compañera la Dra. Mar Contreras es especialista exclusiva en Ortodoncia.

🔬 Evidencia Científica

Todos nuestros tratamientos están respaldados por investigación científica publicada en revistas internacionales de prestigio.

🎯 Tratamientos Personalizados

Cada caso es único. Diseñamos un plan de tratamiento específico adaptado a tus necesidades y objetivos.

📍 Ubicación Céntrica

Clínica en Madrid Centro (Calle de la Princesa 90), perfectamente comunicada con metro Moncloa ( Salida por Calle Arcipreste de Hita) y autobús.

💰 Primera Consulta Gratuita

Valoración completa sin coste que incluye: exploración, diagnóstico, plan de tratamiento y presupuesto detallado.

⭐ Seguros y Financiación

Estamos activando colaboraciones con los mayores seguros y ofrecemos financiación sin intereses hasta 24 meses.

Reserva tu cita sin compromiso

Calendario citas 

 

Teléfono: +34 694 253 968

Correo electrónico: info@perroneperiodoncia.es

 

Ubicación:

Calle Princesa 90, 2.º piso, puerta 2

28008, Madrid 

Cómo llegar:

L3 y L6, metro Moncloa 

(Salida por Calle Arcipreste de Hita)

Formulario de Contacto directo
Responderemos con la mayor brevedad

Estoy de acuerdo en que estos datos se almacenen y procesen con el fin de establecer contacto. Soy consciente de que puedo revocar mi consentimiento en cualquier momento.*

* Indica los campos obligatorios
¡Gracias! Nos pondremos en contacto con usted lo antes posible.
Information icon

Necesitamos su consentimiento para cargar las traducciones

Utilizamos un servicio de terceros para traducir el contenido del sitio web que puede recopilar datos sobre su actividad. Por favor revise los detalles en la política de privacidad y acepte el servicio para ver las traducciones.