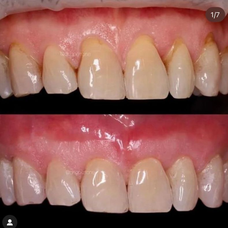
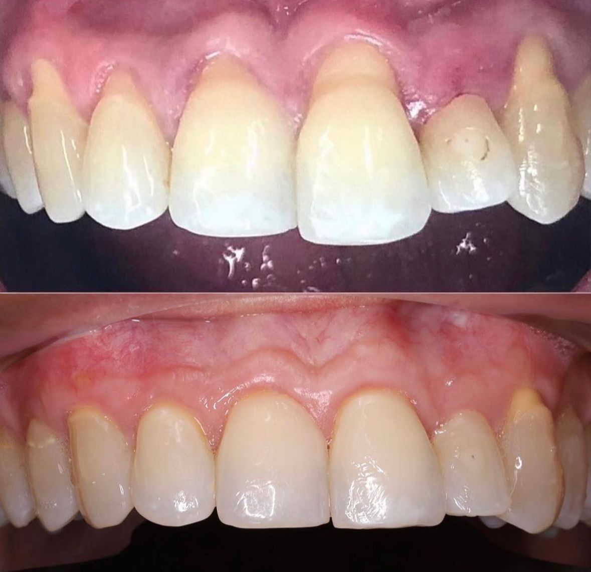
Casos Clínicos Recesiones Gingivales Dr. Perrone: 
Antes y Después

Tratamiento de encías retraidas en Madrid

Técnicas Más Utilizadas en Cirugía Mucogingival

Existen varias técnicas quirúrgicas que se adaptan a las necesidades específicas de cada paciente:

El Dr. Giammarco Perrone ha estudiado en Bologna esta especialidad desarrolando profundos conocimientos de sus mentores entre los cuales el Prof. Giovanni Zucchelli y la Prof.ssa Martina Stefanini.


1. Injerto Gingival Libre
    •    Se toma tejido del paladar y se coloca en el área afectada para aumentar el grosor de las encías o cubrir raíces expuestas.
    •    Ideal para casos donde se necesita reforzar áreas con poco tejido gingival.


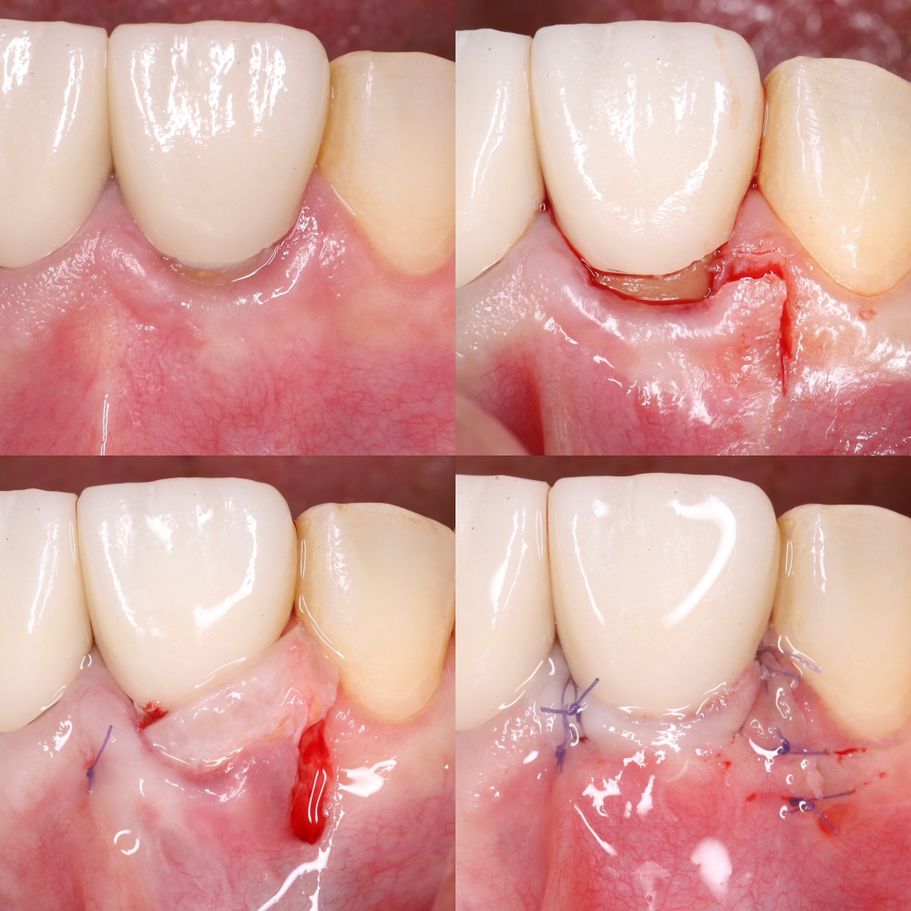
2. Injerto Conectivo Subepitelial
    •    Se extrae tejido conectivo debajo del epitelio del paladar y se utiliza para cubrir raíces expuestas con resultados estéticos excelentes.


3. Colgajo de avance coronal (CAF)
    •    Reposiciona el tejido existente hacia arriba para cubrir raíces expuestas sin necesidad,  muchas veces, de tomar tejido del paladar. Esta es la tecnica de elección y Gold estandard con mas evidencia cientifica actualmente.

4. Regeneración Tisular Guiada (RTG)
    •    Utiliza membranas biocompatibles para estimular el crecimiento de nuevo tejido gingival y óseo.

¿Cómo Saber si Necesitas una Cirugía Mucogingival?


Si presentas alguno de los siguientes síntomas, podrías ser candidato para este procedimiento:
    •    Encías retraídas que dejan expuestas las raíces dentales.
    •    Sensibilidad dental al frío o al calor debido a la recesión gingival.
    •    Encías desiguales o estéticamente poco atractivas.
    •    Problemas recurrentes de inflamación o sangrado en las encías.


Un diagnóstico adecuado realizado por un especialista en periodoncia es clave para determinar si este tratamiento es adecuado para ti.


Proceso Quirúrgico y Recuperación


Antes de la Cirugía
    1.    Evaluación clínica detallada por parte del periodoncista.
    2.    Explicación del procedimiento y planificación personalizada según tus necesidades específicas.
Durante la Cirugía
El procedimiento suele realizarse bajo anestesia local y puede durar entre 1 y 2 horas, dependiendo del caso.
Después de la Cirugía: Consejos para una Recuperación Exitosa
    1.    Evita alimentos duros o calientes durante los primeros días.
    2.    Usa enjuagues bucales recomendados por tu dentista para prevenir infecciones.
    3.    No fumes, ya que esto puede retrasar el proceso de cicatrización.
    4.    Asiste a tus revisiones postoperatorias para garantizar una recuperación adecuada.


Preguntas Frecuentes sobre Cirugía Mucogingival


1. ¿Es dolorosa esta cirugía?
No, ya que se realiza bajo anestesia local y las molestias postoperatorias suelen ser leves, controladas con analgésicos suaves.


2. ¿Cuánto tiempo tarda en sanar?
La cicatrización inicial puede tardar entre 2 y 4 semanas.
 

3. ¿Cuánto cuesta una cirugía mucogingival?
El costo varía según el caso.

¿Qué es la cirugía mucogingival y cuándo se necesita?

Descripción: Este artículo explica de manera sencilla qué es la cirugía mucogingival, sus beneficios y en qué casos está indicada.

La cirugía mucogingival es un procedimiento especializado dentro de la odontología que se centra en tratar problemas relacionados con las encías y los tejidos blandos que rodean los dientes. Este tipo de cirugía no solo tiene un impacto funcional, sino también estético, ayudando a mejorar la salud bucal y la apariencia de la sonrisa.


¿Cuándo se necesita?


Existen varias situaciones en las que puede ser necesaria una cirugía mucogingival:


    1.    Recesión gingival: Cuando las encías se retraen, dejando expuestas las raíces de los dientes, lo que puede causar sensibilidad dental, caries radiculares e incluso pérdida dental si no se trata.
    2.    Encías finas o frágiles: Algunas personas tienen por genetica encías naturalmente delgadas que pueden desgastarse con el tiempo.
    3.    Preparación para implantes dentales: En algunos casos, es necesario reforzar los tejidos blandos antes de colocar un implante dental.
    4.    Mejora estética: Para corregir sonrisas con encías desiguales o excesivas (“sonrisa gingival”).

Beneficios de la cirugía mucogingival


    •    Protección dental: Cubre raíces expuestas y previene problemas como caries o sensibilidad extrema.
    •    Mejora estética: Proporciona una sonrisa más armónica y saludable.
    •    Salud periodontal: Refuerza los tejidos blandos para proteger los dientes y los implantes dentales.


Conclusión
Si notas que tus encías están retraídas o tienes problemas estéticos relacionados con ellas, consulta el Dr. Giammarco Perrone, experto y referente en retraccíon de encias debido a su formación internacional. La cirugía mucogingival puede ser la solución que necesitas para restaurar tu salud bucal y mejorar tu sonrisa.

Necesitamos su consentimiento para cargar las traducciones

Utilizamos un servicio de terceros para traducir el contenido del sitio web que puede recopilar datos sobre su actividad. Por favor revise los detalles en la política de privacidad y acepte el servicio para ver las traducciones.